Тарасовский филиал ГБУ РО «Миллеровская центральная районная больница»

телеграмм

Мы в социальных сетях:       

Правила записи на прием к врачу, консультацию, обследование.

________________________________________________________________________________________

Слелаем мир лучше
У Вас есть вопросы и предложения по медицинской помощи? Столкнулись с проблемой — сообщите о ней!
Главная » 2023 » Март » 24

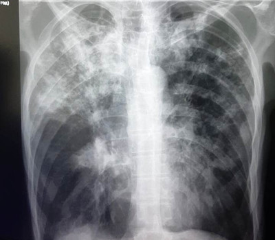
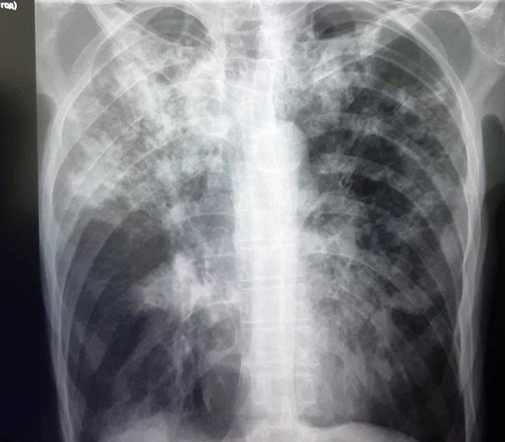
Туберкулез – это опасное заболевание, которое вызывается бактериями Микобактерия туберкулеза и может поражать любые органы человеческого организма. Эта болезнь является одной из самых распространенных в мире и прежде всего угрожает жизни людей с ослабленным иммунитетом. Но что такое туберкулез и как его лечить?

Заболевание может проявляться в разных формах: от скрытой до открытой, с выделением бактерий в окружающую среду. Основным симптомом туберкулеза является постоянный кашель, выраженный утром, с наличием мокроты. Другие часто встречающиеся симптомы - потеря веса, потливость, повышение температуры тела и слабость.

Лечение туберкулеза должно проводиться под наблюдением врачей-инфекционистов, которые подберут о ... Читать дальше »

Просмотров: 138 | Добавил: tarcrb | Дата: 24.03.2023 | Комментарии (0)




















Слелаем мир лучше
У Вас есть вопросы и предложения по медицинской помощи? Столкнулись с проблемой — сообщите о ней!